Whole Body MRI
Whole Body MRI is a comprehensive, radiation-free scan that captures detailed images of your entire body in one session. It’s ideal for early detection, preventive screening, and monitoring of systemic conditions.
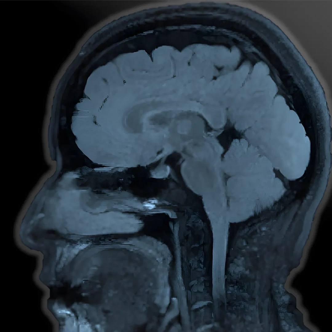
MR Neuroimaging provides high-resolution images of the brain and spinal cord using advanced MRI techniques. It aids in diagnosing neurological conditions such as tumors, strokes, and multiple sclerosis with precision.
MRI Tractography
MRI Tractography visualizes the brain’s white matter pathways by tracking water movement along neural fibers. It’s crucial for mapping brain connectivity and planning precise neurosurgical interventions.
Brain and Neck MR Angiography is a non-invasive scan that visualizes blood vessels to detect blockages, aneurysms, or vascular malformations. It provides detailed insights into cerebral and neck circulation without the need for contrast dyes or radiation.
Advanced Spinal MRI offers high-resolution imaging of the spine to detect disc issues, nerve compression, tumors, or inflammation. It ensures precise diagnosis for back and neck pain, sciatica, and other spinal conditions.
Advanced Joint and Bone MRI provides detailed imaging of joints, cartilage, and bones to assess injuries, arthritis, and degenerative conditions. It’s essential for accurate diagnosis and treatment planning in orthopedic and sports-related cases.
MR Enterography is a specialized MRI scan that produces detailed images of the small intestine to detect inflammation, Crohn’s disease, or other bowel disorders. It’s a safe, non-invasive alternative to traditional imaging, offering clarity without radiation.
Prostate MRI delivers high-resolution images of the prostate gland to detect tumors, assess cancer risk, or guide biopsies. It’s a non-invasive, radiation-free tool for accurate diagnosis and treatment planning in men’s health.
Aortic & Peripheral MR Angiography
Aortic and Peripheral MR Angiography visualizes blood flow in the aorta and peripheral arteries to detect blockages, aneurysms, or vascular disease. This non-invasive, radiation-free scan offers detailed vascular mapping for accurate diagnosis and treatment planning.
Stroke & Perfusion Brain MRI
Stroke and Perfusion Brain MRI evaluates blood flow in the brain to identify areas affected by stroke or reduced perfusion. It helps determine the extent of brain damage and guides timely, targeted treatment.